esonic@esonicimage.com
首页 > 临床学术中心 > 腹部 > 肝脏
Needle TS智能介入解决方案

微创“针”功夫


—— 工欲善其事,必先利其“器” ——




在现代医学的抗癌战场上,射频消融技术正以微创、精准、高效的优势,成为肿瘤治疗领域的“破局者”。而这一技术的革命性突破,离不开银河官网医疗(ESI)的Needle TS智能介入解决方案,它如同一双“透视眼”,让医生在无创、无辐射的精准导航下,直击病灶核心,为患者点燃新生的希望!

特别鸣谢

郑州大学第一附属医院超声介入科

董刚教授提供病例分享



肝脏篇

640.jpg

肝脏,作为人体重要的代谢和解毒器官,一旦发生肿瘤,治疗往往复杂棘手。传统的手术切除对于一些患者来说,可能因身体状况不佳、肿瘤位置特殊等因素而难以实施。而肝脏射频消融技术以其独特的微创优势脱颖而出。

病例分享


#病例分享#


一位 52 岁的男性患者,被诊断为肝癌。由于患者同时患有肝硬化,肝功能较差,身体状况无法耐受传统的肝癌切除手术。

治疗过程:超声介入科董刚教授决定采用射频消融技术进行治疗,在超声引导下,将射频消融针经皮穿刺插入肝脏肿瘤组织内,根据肿瘤的大小和形状,调节好射频功率和时间,使肿瘤病灶组织在高温下被精准灭活。手术过程中,密切监测患者的生命体征和肝功能变化。




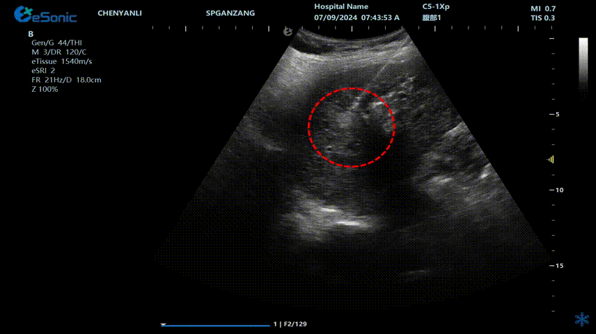
640 (2).gif

肝癌射频消融动态视频

红圈为病灶位置

640 (1) (2).gif

肝癌射频消融动态视频

红圈为病灶位置

肝癌射频消融:全麻下彩超探头引导射频针分别植入肝右叶两个稍高回声结节,固定消融,至结节全部为强回声覆盖,覆盖良好,缓缓灼烧针道后退针。

治疗结果:术后患者恢复较快,肝功能没有出现明显异常。术后经过几次增强复查,发现肿瘤没有活性。

患者感慨“不用开刀,恢复还快,真是科技改变生活!”























甲状腺篇

甲状腺结节患者也能从射频消融中受益。甲状腺是我们重要的内分泌器官,传统手术切除可能会影响甲状腺功能,还会在脖子上留下明显疤痕。射频消融就不一样了,它不仅能消除结节,还能很好地保护甲状腺功能,而且创口极小,几乎看不到疤痕,对爱美的人士十分友好。


640 (1)jia、.jpg


病例分享



#病例分享#


一位36岁的李女士在一次体检中,被查出甲状腺有结节,进一步检查后,虽确定结节是良性的,但较大的尺寸还是给她带来了吞咽异物感等不适症状。经过多方咨询和慎重考虑,李女士决定接受甲状腺射频消融治疗。

治疗当天,超声介入科董刚教授将一根细细的消融针穿刺到甲状腺结节内,通过针尖产生热量,高温加热作用可以使结节病灶组织被精准灭活,最后坏死组织随着时间的推移逐渐被身体吸收,直至消失。

640 (3) (2).gif

(甲状腺结节射频消融动态视频)

李女士接受了甲状腺射频消融手术,过程顺利,手术耗时约20分钟,患者无出血、声音嘶哑等并发症。术后生命体征正常,观察几小时后便回家休息。次日恢复正常生活,颈部几乎看不到明显伤口。复查时显示甲状腺结节缩小,吞咽异物感消失。术后李女士摸着几乎无痕的颈部笑到:“没想到20分钟就解决了困扰我几年的问题!为微创射频消融技术点赞!”











干货满满!

专家总结微创消融三大核心优势


一、超声实时全过程检测,较增强CT引导更快捷,无辐射,治疗过程中随时可以根据实际情况微调方案最大限度的保证了安全和彻底。

二、消融造成的损毁和手术切除效果类似,在媲美手术效果的前提下,更微创、更不容易造成免疫力下降和血性的转移,而且还经济。

三、射频消融因为微创,所以可以反复进行,在动态监测过程中,发现一个做一个,也保证了患者的生存期得到了有效延长,提高了患者的生活质量。


如果你或身边的人有相关困扰,不妨多了解一下这项神奇的技术,说不定它就是开启健康的那把钥匙。



敲重点:智能介入解决方案


Needle TS


以上病例均使用了银河官网医疗(ESI)准台式搭载的Needle TS智能介入解决方案。为何Needle TS能成为医生的“抗癌利器”?传统射频消融依赖医生经验“盲穿”,而银河官网医疗(ESI)的Needle TS技术,通过智能Map导航+无磁定位,实现三大突破。

(1)实时追踪针尖:超声增强技术全程显示针尖位置,避免误伤血管、神经,穿刺成功率提升50%!

穿1.jpg

(2)动态路径预判:AI算法提前规划最佳穿刺路径,复杂位置的肝肿瘤、甲乳结节也能“一针到位”。可广泛应用于椎管穿刺或消融治疗等,使医生更易区分针尖和韧带等强回声,实时定位针尖位置,减低有创操作风险。

穿2.jpg

(3)量化消融范围:结合E超“组织弹性定量分析”,精准控制消融能量,既灭活肿瘤又保护正常组织!

穿34.jpg

#医生好帮手#

降低操作难度:Needle TS智能介入解决方案提供全面、准确的穿刺引导,简化复杂射频消融手术的操作。

减轻心理压力:帮助医生更从容地完成手术,提升手术成功率。

助力年轻医生:加速年轻医生掌握射频消融技术,缩短学习曲线。

董刚教授评价:“Needle TS将射频消融从'经验操作'升级为'精准导航',尤其结合肝肿瘤、甲乳结节等复杂病例,真正实现了微创不微效!”




本文所述病例及疗效为个体化效果,实际治疗需遵医嘱。



上一条 : 小心“肝”!“QSOS”来守护 下一条:暂无

?:400-0628060 ?:esonic@esonicimage.com

:银河官网影像-ESI

COPYRIGHT? 银河官网影像  京ICP备2022002181号-1

药品医疗器械互联网信息服务备案:(京)网药械信息备字(2025)第 00057 号