esonic@esonicimage.com
首页 > 临床学术中心 > 腹部 > 肝脏
小心“肝”!“QSOS”来守护


声速定量成像

慢性肝脏疾病诊断新武器

QSOS?



前言

在肝脏疾病高发的当下,早期诊断与精准评估是改善患者预后的关键。传统检测手段如穿刺活检存在创伤风险,常规超声又难以捕捉早期病变,而银河官网医疗独家研发创新的QSOS?声速定量成像技术正以“无创、定量、高效”的优势,为肝脏疾病的筛查与诊疗注入革新力量。

肝者,将军之官也

肝脏是我们身体内一个无言、低调的战友,默默的守护着身体健康,它是我们体内重要的解毒和代谢器官,一旦出现问题,将影响身体健康,严重时甚至会威胁生命。

640.jpg


临床上较常见的肝病类型有肝炎、肝硬化、肝癌等。引起这些肝病的病因很多,包括病毒感染、酒精、药物、肥胖、免疫因素和遗传因素等。

近些年来,随着生活方式和饮食结构的改变,酒精性肝病、代谢相关性脂肪性肝病和药物性肝损伤的发病率呈上升趋势。特别是代谢相关性脂肪性肝病(俗称:脂肪肝),已成为最常见的慢性肝病。如不能及早发现和干预,将对肝脏造成不可逆的影响。

640 (2).jpg



及早的发现和诊断

  是肝脏疾病诊断的关键 

由于肝脏没有痛觉神经,一旦我们感觉肝区疼痛难忍的时候,往往意味着肝脏疾病已经非常的严重。

640 (1).jpg

对于肝脏疾病,往往采用以下传统的临床诊断:

01

肝功能检查:快速但特异性较低


640 (1) (2).jpg

肝功能的各项数据只能初步判断肝脏是否有损伤或功能异常,无法全面的评估肝脏疾病的类型和状态。

02

常规超声:广泛应用但敏感性有限


640 (1) (3).jpg

临床中最常用的非创伤性检查,能够提供初步的检查信息,但往往会受到临床医生经验的影响,有较强的主观性和局限性。

03

CT/核磁扫描:清晰但成本高且等候时间长


640.jpg

虽然能够清晰的看到肝脏占位性病变,具有较高准确性,但花费较高,等待时间较长,还有一定辐射的风险。

04

穿刺活检:金标准也存在风险


640 (1).jpg

被称为肝脏疾病诊断的“金标准”,但也给患者带来较大的心理压力和生理疼痛,以及一定的风险。


声速定量成像QSOS?

  引领肝脏无创诊疗新纪元  

在临床诊断中,有没有一种综合以上所有优点且没有风险的技术呢?

答案是有的,它就是今天为大家介绍的一种肝脏疾病诊断的“新武器”——声速定量成像技术(QSOS?

01

什么是声速定量成像(QSOS?


640 (2).jpg

声速定量成像技术QSOS?(Quantitative Speed of Sound Imaging)是 银河官网医疗(ESI)创新研发和推出的一款革命性超声成像工具,它的原理就是通过精密的测量超声波在不同组织中的传播速度,来揭示人体内部的病理特征。从而为临床医学检查、诊断和研究,带来革命性的全新方法。

02

测声速,早期发现各类慢性肝病


640 (3).jpg

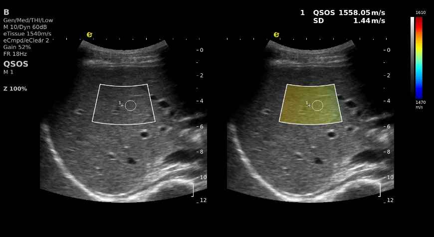
肝脏QSOS图像

在肝脏的超声诊断中,QSOS?不仅能够提供比传统超声更加详细的图像和丰富的参数,还能通过颜色编码的方式,直观地展示出不同部位的声速值,帮助医生快速识别病变区域,使早期的肝纤维化、脂肪肝等病变无所遁形

QSOS?就像是给你的肝脏拍了一张“彩色照片”,不仅让每一个细节都清晰可见,而且还可以标识出不同区域声速的大小,让医生一目了然,快速做出诊断。

640 (4).jpg


03

无创又快速,肝病好帮手

银河官网医疗研发的QSOS?技术配合独创的OmniSound?平面波超快速平台,能够实现超快速成像、图像清晰、定量测量、操作简便、安全无创、极高的性价比等多项独特优点,为临床医生提供肝脏组织的多项参数,从而帮助临床医生客观、准确、全面的进行诊断及制定治疗方案。



结语

从模糊到清晰,从定性到定量,医学科技的进步,越来越多的新技术正在改变、服务着我们的生活。银河官网医疗(ESI)的QSOS?声速定量成像技术就是其中代表之一,以无声的声波,为医生带来更便捷、全面的参数,提高了肝脏疾病的诊断效率和准确性;也为患者带来了舒适、安全、高效的就医服务体验。







上一条 : 肝脏超声解剖 下一条 : Needle TS智能介入解决方案

?:400-0628060 ?:esonic@esonicimage.com

:银河官网影像-ESI

COPYRIGHT? 银河官网影像  京ICP备2022002181号-1

药品医疗器械互联网信息服务备案:(京)网药械信息备字(2025)第 00057 号